SEAP XXIII CONGRESO DE LA SOCIEDAD ESPAÑOLA DE ANATOMÍA PATOLÓGICA División Española de la Academia Internacional de Patología
Palacio de Congresos de Tarragona,  16 al 19 de mayo de 2007
- PORTADA - INVITACIÓN - COMITÉS - CRONOGRAMA - PROGRAMA - COMUNICACIONES - PREMIOS - INFORMACIÓN GENERAL - INSCRIPCIÓN - BOLETÍN DE INSCRIPCIÓN -

[Seminario Club Neuropatología] [Seminarios]

Irune Ruiz Diaz
S. Patología H. Donostia. San Sebastián

HISTORIA CLÍNICA:

Paciente varón de 27 años de edad con episodio sincopal con rigidez de unos minutos de duración sin relajación de esfínteres ni convulsión. Resto de exploración neurológica sin alteraciones.

EXPLORACIONES RADIOLÓGICAS:

TAC: Proceso expansivo frontoparietal derecho.

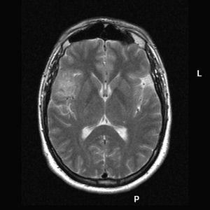
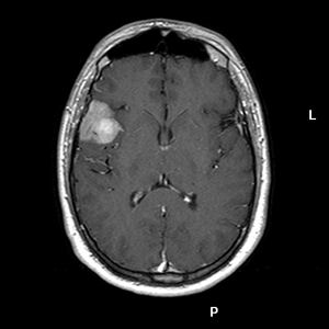
RM: Tumor localizado en valle silviano ¿intra- extraaxial? de 34 x 25 mm.. La lesión se rodea de mínimo edema y no presenta efecto masa significativo. (Figs. 1-2)

Fig. 1. Corte axial T2 mostrando lesión hiperintensa en valle silviano. ¿intra-extraaxial? Fig. 2. Corte axial T1 con contraste, captación intensa.
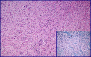
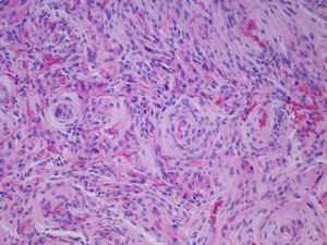
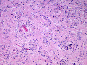
Fig. 3. Meningioma transicional sin atipias, mitosis o necrosis. H-Ex200 Fig. 4. Transición entre el meningioma superficial y la meningioangiomatosis en la corteza cerebral adyacente. H-Ex100
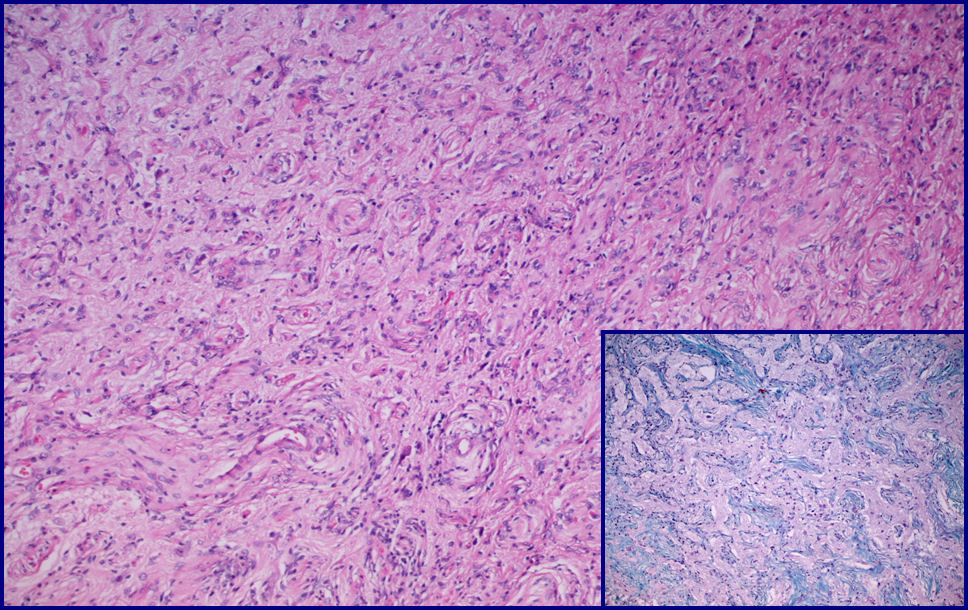
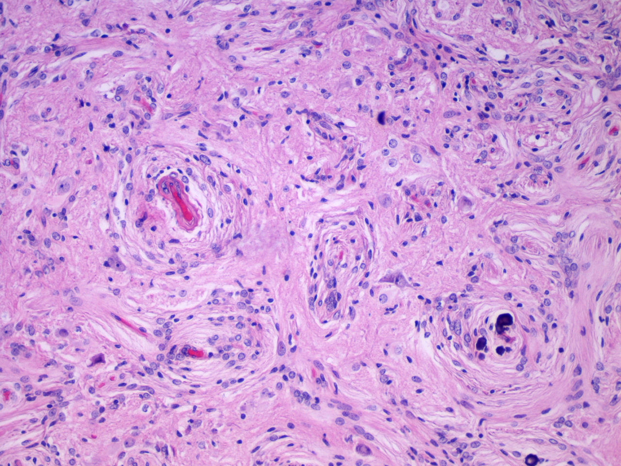
Fig. 5. Proliferación vascular rodeada de cels.meningoteliales que se extiende en el cortex cerebral, con distintos grados de fibrosis. H-Ex100, T. de Masson x 200 Fig. 6. Vasos de pequeño tamaño, con paredes hialinizadas rodeados concentricamente de cels. meningoteliales. El fondo está constituido por celularidad glioneuronal. H-Ex200

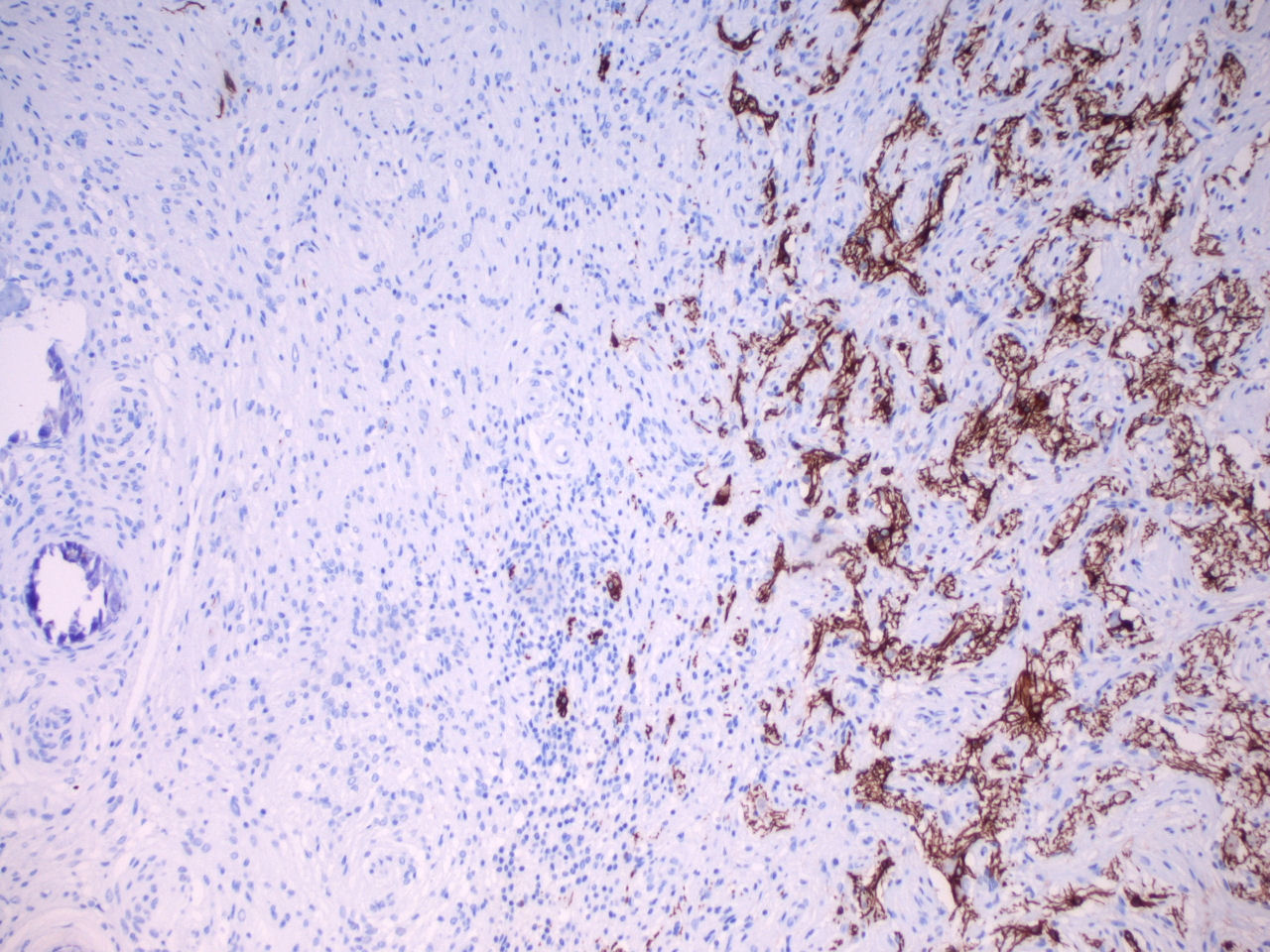
Fig. 7. Inmunotinción positiva para PGFA en el cortex cerebral residual. IHQ x 100


 

Envíe su diagnóstico:

 



[Seminario Club Neuropatología] [Seminarios]

 

Agencia Grupo Pacífico
VIAJES PACÍFICO S.A.
e-mail: menrich@pacifico-meetings.com

SECRETARÍA DEL CONGRESO:

Dr. Francesc Alameda

Servicio de Patología
Hospital del Mar
Passeig Maritim, 25-29
08003 Barcelona
Tel. 932 483 031 Fax: 932 483 131
e-mail: 86780@imas.imim.es

 

 

 

[Portada]


 

   © SEAP. Sociedad Española de Anatomía Patológica

Actualizado: 03/04/2007