SEAP XXIII CONGRESO DE LA SOCIEDAD ESPAÑOLA DE ANATOMÍA PATOLÓGICA División Española de la Academia Internacional de Patología
Palacio de Congresos de Tarragona,  16 al 19 de mayo de 2007
- PORTADA - INVITACIÓN - COMITÉS - CRONOGRAMA - PROGRAMA - COMUNICACIONES - PREMIOS - INFORMACIÓN GENERAL - INSCRIPCIÓN - BOLETÍN DE INSCRIPCIÓN -

[Seminario Club Patología Digestiva] [Seminarios]

Caso 2. Dr. Antonio Salas
Hospital Mutua de Terrassa. Barcelona.

HISTORIA CLÍNICA:

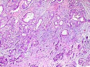
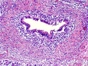
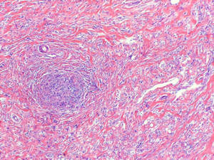
Paciente varón de 61 años, con síndrome tóxico de dos años de evolución. Dolor en fosa renal e hipocondrio izquierdo de varias semanas. En la analítica destaca hipergammaglobulinemia y anemia normocítica. RX: Lesión quística de 6,4 x 4,8 cm. en cola de páncreas, en contacto con hilio esplénico, rodeada de masa de aspecto inflamatorio en relación con bazo, riñón izquierdo y cuerpo gástrico, englobando vasos esplénicos. Varias biopsias por punción evidencian tejido fibroinflamatorio. Se realiza exéresis quirúrgica.   

HE HE
HE  

 

Envíe su diagnóstico:

 



[Seminario Club Patología Digestiva] [Seminarios]

 

Agencia Grupo Pacífico
VIAJES PACÍFICO S.A.
e-mail: menrich@pacifico-meetings.com

SECRETARÍA DEL CONGRESO:

Dr. Francesc Alameda

Servicio de Patología
Hospital del Mar
Passeig Maritim, 25-29
08003 Barcelona
Tel. 932 483 031 Fax: 932 483 131
e-mail: 86780@imas.imim.es

 

 

 

[Portada]


 

   © SEAP. Sociedad Española de Anatomía Patológica

Actualizado: 11/04/2007